Adresas: Kauno g. 33, Utena; Darbo laikas: I-V 8:00-17:00 VI 9:00-14:00

Gydytojai, kuriems rūpi - nuolatinis tobulinimasis tarptautiniuose kongresuose
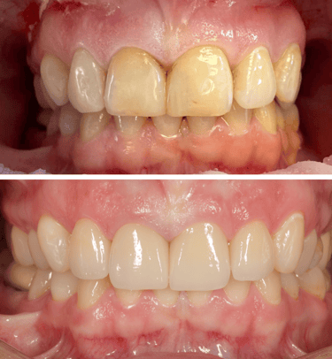
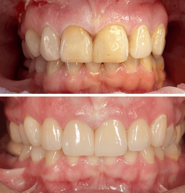
Inovacijomis grįsta, meistriškumu paremta odontologija
Mokslo ir laiko patikrinti odontologiniai sprendimai, praktikuojami savo sričių profesionalų
Odontologijos paslaugos
Pokytis gimsta ne tik iš šypsenų, bet ir iš visos paciento patirties: nuo klinikos aplinkos, bendravimo iki vertybių, kuriomis vadovaujamės kiekviename žingsnyje


Apie jausmą gyventi drąsiai
Inovatyvi ir laiko patikrinta odontologija, skirta gerai jūsų savijautai ir preciziškiems gydymo metodams. Mūsų prioritetas - kokybė ir patikimumas kiekviename žingsnyje
Gydytojai
Subūrėme komandą, kur kiekvienas specialistas dirba savo stipriausioje srityje


Živilė Židonytė
Gydytoja odontologė - ortopedė


Solvita Virvytytė
Burnos higienistė


Domantas Skripkauskas
Gydytojas odontologas - periodontologas

Maloniai laukiame!
Individualus planas. Aiškus etapas. Partnerystė ilgalaikėje priežiūroje
Pažangi odontologija, keičianti gyvenimus
Kontaktai
Viber, WhatsApp, Tel.: +370 689 89063
© 2026. Visos teisės saugomos. Senamiesčio odontologija.
Darbo laikas: I-V 8:00-17:00; VI 9:00-14:00
Paslaugos
Sekite mus: